x
M a n a v a s e v a
OP timings 9:00am to 5:00pm (Sunday Holiday)

GLAUCOMA

WHAT IS GLAUCOMA

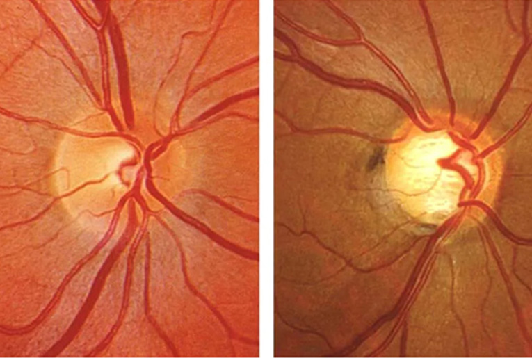
Glaucoma is group of eye disorders which affect the optic nerve. The Optic nerve is a bundle of nerve fibres which transmit visual signals from eye to nerve.

The most common form of glaucoma is called the Primary Open Angle Glaucoma. This is caused mainly due to increase in pressure inside the eye.

Another form of glaucoma known as Acute Angle Closure Glaucoma occurs abruptly due to sudden increase in eye pressure.

Increased eye pressure is not the only cause of Glaucoma. People with normal eye pressure can also cause glaucoma.

SYMPTOMS OF GLAUCOMA


The Primary Open Angle Glaucoma generally does not exhibit any symptoms. Most people are not aware of the glaucoma developing until there is loss of vision. Initially glaucoma affects side vision and gradually advances to the central vision.

Acute Angle Closure Glaucoma shows symptoms like severe eye pain, nausea, redness in eye, blurred vision, seeing coloured rings around lights, etc. This is an emergency condition and an eye specialist needs to be consulted immediately.

RISKS OF GETTING GLAUCOMA


The common risk factors are as follows:

  • The risk of developing glaucoma increases with age. That’s why glaucoma screening should start by age 50 atleast.
  • Medical conditions such as diabetes, high blood pressure, Heart disease can increase the risk of developing glaucoma.
  • Having a family history of glaucoma is also another known risk of developing glaucoma.
  • Glaucoma can also occur due to such injury in the eye which may cause eye pressure to increase significantly.

DIAGNOSIS OF GLAUCOMA


In order to understand if the eye has developed glaucoma, the following steps will be taken:

  • Medical history of patient, especially family history to ascertain any other family member having glaucoma
  • Eye test to check for loss in vision, if any
  • Tonometry to check for pressure inside the eye.
  • Pachymetry to measure thickness of cornea.
  • If the above tests show a high probability of glaucoma occurrence, then a visual field test is done to check if the field of vision has been affected.
  • If results of field test are positive, scan images of the retina and optic nerve of the eye have to be taken to check for significant changes over a period of time.

TREATMENT

The primary level of treatment is aimed at reducing pressure in the eye. There are several medications available for the same. Some treatments may require laser or other surgery. There is no cure for glaucoma as yet. Early detection is the only way to reduce the severity of glaucoma and thus prevent total loss of vision

At Manavaseva Hospital, the preliminary screening for Glaucoma is free. Patients interested in getting screened must whatsapp their name, age and place to 9387752727 .


CATARACT

Our eye has a lens which is a curved structure in front but behind the pupil. It is this lens that enables us to see things.


Read More

GLAUCOMA

Glaucoma is group of eye disorders which affect the optic nerve. The Optic nerve is ....


Read More

RETINOPATHY

This is an eye condition which damages the blood vessels in the Retina of the eye...


Read More